口腔連鎖領跑品牌 掌握種植核心技術

全國連鎖:
當前位置:新聞中心>

【整牙日記系列】為了更美,我拔了八顆牙……

發表于:2018-01-22 19:23:53 來源:順德德倫口腔 編輯:未知 閱讀:0

    在這看臉的年代
    天生麗質者會有
    更多靠后天變美
    為了變得更美麗
    她拔了八顆牙齒
    整牙堪比整容哦
    有圖又有真相啊
    不信?跟我來吧
 
  今天我們的【整牙日記系列】主角就是一位有著虎牙的姑娘,她將和我們分享她的整牙日記。

 (露齒笑的照片少之又少,好不容易扒拉出一張。我的小虎牙清晰可見)
  姓名:劉*芬
  年齡:23
  職業:銀行職員
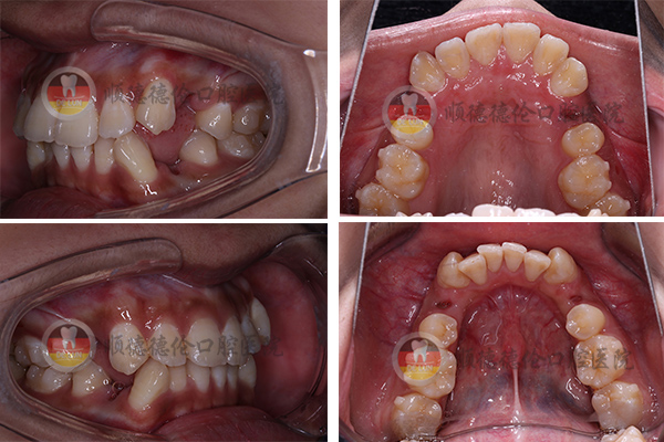
  牙齒狀況:牙齒外突、擁擠、不整齊
  矯治方式:隱形矯正
  就診醫院:順德德倫口腔醫院
  
  牙齒不齊讓我不自信
  我的牙齒前突,我自己覺得很明顯。每想開懷大笑時都要遮遮掩掩,生怕別人因為我的牙齒不好看,反而笑話我,無形中增加了我的心理負擔;另外,因為牙齒不齊,有些地方很難刷干凈。

    笑的時候很怕露出牙齒,拍寫真,只好抿著嘴。
 
  怕做“鋼牙妹”
  我選隱形矯正

  在初中時,看到學姐矯正用傳統的鋼絲進行矯正,“鋼牙妹”反而讓更多的同學笑話她。
  現在參加工作了,自己賺錢了,有了一定的經濟基礎,我選擇做隱形矯正,不容易被發現,也避免了與人交流時的尷尬。

 
  隱形牙套,我選擇是時代天使隱形矯正,是那種透明可拆裝的牙套,雖然會貴一點,但美好觀方便也更加舒適。我的牙醫就是時代天使認證專家黃景祥醫師哦~~。


我的牙齒是黃景祥主任親診的哦

  我的矯正流程
  一、初診
  醫生初步了解我想要解決的問題,還會問我想要達到什么效果,對矯治器有沒要求,給我口腔檢查還用專業的表格(口腔檢查、牙中線、面部檢查、開唇露齒、下頜關節檢查等等),那一瞬間心里踏實多了,覺得醫生對我很負責很詳細,還和我說大概的方案,具體的方案需要取素材才制定出。


初次到德倫口腔,前臺服務好貼心呢
 
  二、設計矯正方案
  于是就開始準備做設計方案的素材,下面是大概的步驟:
  1、拍CT片采集數據
  這里有重點提一下,德倫口腔有三合一的進口設備,只需拍一次就有600多張影像,而且還不用張口,兩分鐘左右就拍完了)
  2、拍正面臉部照,側臉照片
  3、拍口內照
  4、取牙模
  5、一周后出矯正動畫,可預知矯正完的樣子


拍CT片采集數據
 
  三、開始治療
  拔了8顆牙
  看了醫生的方案,也看了矯正的動畫,對矯正后的效果,我是有了足夠的信心。
  在確定我要矯正牙后,首先要進行潔牙,把口腔清潔干凈,然后正式開始矯牙之路。


上下兩排牙齒共拔了8顆牙齒,為了變美我也是拼了(⊙o⊙)
 
  關于拔牙
  我的方案是要拔牙的,說出來估計會嚇到別人,因為我拔了8顆,分三次拔完了,估計很少有人能夠理解,周圍不少朋友說我瘋了,我是想美想瘋了,哈哈哈……
  開始戴牙戴
  拔完牙后的10天就開始粘附件,附件是樹脂的和牙齒顏色一樣,后面就帶牙套了。


拔牙后的我
 

  四、初戴牙套
  感覺有點酸軟

  帶牙套的兩天左右會感覺有點酸軟,醫生還告訴我酸軟是正常的,不然證明你牙齒沒移位,帶一周后感覺到牙齒有移動,現在開始帶第二幅牙套了,每換一套牙套都滿懷期待,而且朋友們都看不出我帶了牙套,期待矯正后的結果。


第一次戴牙套,有點忐忑呢,不過很方便,自己都能摘戴^_^
 
  現在正在戴第二副牙齒
  不仔細看是不會發現的

  之后,還是建議受牙齒困擾,又想矯正的朋友,鼓足勇氣,做美好的自己。


  未完待遇
  ……
  想看小芬美女摘掉隱形牙套的樣子
  請繼續關注順德德倫口腔醫院
  我們將持續報道

寒假整牙隱形矯正立減8800元!


 
隱形牙套多少錢 牙齒矯正多少錢 種植牙多少錢一顆 烤瓷牙多少錢一顆 順德植牙多少錢
種牙好還是鑲牙好 牙齦腫痛怎么辦 點擊更多牙齒案例 牙齒美白方法 牙套多少錢
    溫馨提示PROMPT

    德倫口腔打造中國口腔領導品牌,溫馨提醒您口腔問題不容忽視。點擊在線咨詢即可獲得一對一的咨詢服務,德倫口腔牙科專家將對您提出的問題作出專業回答并保護您的隱私!

    選擇德倫的八大理由

品牌項目
數字化美學矯正

數字化美學矯正

全隱形牙齒矯正

全隱形牙齒矯正

高配版數字化舒適種牙

高配版數字化舒適種牙

ALL-ON-4全口種牙

ALL-ON-4全口種牙

7天仿生美牙修復

牙齒美容修復

健康永久美白

健康長久美白

牙周病綜合治療

牙周病綜合治療

微創根管治療

微創根管治療

專家推薦
熱點問答
?牙齒矯正的危害
?矯牙可以不帶牙套嗎
?復發性口腔潰瘍如何治療
?為什么選擇全瓷牙修復牙齒
?哪些牙齒適合做冷光美白
?為什么做完烤瓷牙以后會發黑
?種植牙修復有沒有年齡限制
精彩活動
最新動態
?第一屆華南牙周臨床大師論圓滿...
?足不出戶看名醫,十月正畸博碩...
?德倫聯合新快報發布《口腔調查...
?德倫9周年中秋珠江之眼夜宴圓...
?賀冰皮月餅DIY暨愛牙盛典盛...
?《第八屆口腔種植大師論壇》盛...
?喜訊!自鎖鼻祖繆耀強教授親診...
坐車路線
  • 出發:
  • 到達: