哪些牙齒問題需要拔除?
壞牙不拔容易危害口腔健康
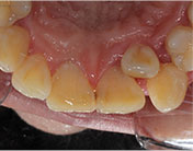
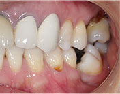
阻生智齒
滯留的乳牙
殘根殘冠
錯位牙/多生牙
牙齒嚴重松動德倫 • 微創舒適拔牙
讓拔牙成為一種享受
利用微創拔牙設備和STA舒眠技術,操作準確,減輕患者損傷,使患者在舒適的狀態下拔除患牙,大大縮短治療時長,并更大限度的保留牙齒周圍骨質,減輕了術后的并發癥。避免了傳統野蠻拔牙給患者帶來的強烈痛感和對牙齒的傷害,整個過程輕松、舒適、術后恢復快。





微創舒適拔牙技術優勢
舒適拔牙新體驗,輕松告別壞牙
數字化準確定位準確定位智齒,明確智齒情況與結構特點,制定初步診治方案
三效鎮靜系統表麻+STA舒眠麻醉+舒適鎮靜,拔牙過程輕松舒適
超聲骨刀降低對軟組織的損害,疼痛小過程快,減輕術后的并發癥
3D導板輔助對于埋伏牙等各類復雜牙,可準確拔除,創傷小,不用縫針
舒適拔牙利用微創精細拔牙設備和熟練的拔牙技巧,使壞牙輕巧取出
水鐳射殺菌水鐳射的激光殺菌功能、超聲骨刀的冷切割功能等促進術區愈合
拔牙為什么選德倫口腔?
安心舒適診療,我們更專業
01.嚴格的消毒流程
嚴格執行無菌技術操作規程,“一人一用一消毒滅菌”,內部定期定量質量監測,外部質控中心每月抽樣檢測。




02.數字化設備保障診療質量
德倫口腔引進數字化設備,為微創拔牙的診療品質提供有力保障。




03.舒適就診環境,無醫療壓抑感
營造溫馨舒適的醫療環境,減輕患者的身體及心理壓力。




專業看牙到德倫口腔
實力連鎖 貼心服務 便捷看牙
德倫口腔目前在廣佛兩地開設了多家連鎖分院,服務范圍覆蓋珠江三角洲等核心地區,院點多設在地鐵沿線,市民可就近選擇院點,享受德倫口腔專業、舒適、便捷的診療服務。
