口腔連鎖領跑品牌 掌握種植核心技術

全國連鎖:
當前位置:牙齒美容修復>烤瓷牙失敗>

烤瓷牙失敗有哪些癥狀?

發表于:2018-01-18 09:46:09 來源:順德德倫口腔 編輯:未知 閱讀:0

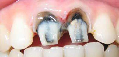
  很多人剛做了烤瓷牙時可能會感覺不錯,但時間一長,問題就接踵而至,如牙齦變色、口腔異味、烤瓷牙看起來很突兀等,導致了烤瓷牙失敗。那么,烤瓷牙失敗有哪些癥狀?
 
  烤瓷牙失敗有哪些癥狀
 
  1、真牙齲壞。因為不密合,烤瓷牙和真牙之間藏納的細菌會逐漸腐蝕真牙,造成真牙齲壞,時間久了真牙甚至會完全爛光,烤瓷牙成為無本之木。
 
  2、口腔異味。因為烤瓷牙做得不夠密合,烤瓷牙和口腔組織之間藏納細菌和食物殘渣,細菌代謝物會產生異味。出現這種情況,烤瓷牙也得拆除重做了。
 
  3、牙齦炎癥、紅腫、出血。造成這些問題主要是烤瓷牙做的不密合,或者邊緣過長,刺激牙齦,引起牙齦炎癥。這樣的烤瓷牙是必須拆除重做的,否則時間久了牙齦炎會逐漸發展成牙周炎,造成牙齒松動、脫落。
 
  4、咬合疼痛。一般是烤瓷牙制作過程中咬合沒有調整好造成的。如果是輕微的咬合問題,可以調整咬合后繼續使用。如果出現嚴重的咬合問題,烤瓷牙就必須拆除重做了。
 
  5、顏色不好。瓷是很穩定的東西,烤瓷牙的顏色不會隨著時間的變化改變,烤瓷牙不管做得過黃還是過白都不會逐漸變得跟自己的牙齒顏色趨近。
 

 
烤瓷牙失敗有哪些癥狀?直接點擊咨詢
 
  德倫口腔專家提醒廣大患者,烤瓷牙失敗要及時治療,這時候應該盡快到專業的口腔機構進行檢查,發現烤瓷牙失敗要盡早治療。如今,瓷玉雕仿生牙冠已經成為迅速修復烤瓷牙失敗的明星產品。
 
  瓷玉雕仿生牙冠 還您一副健康的牙齒
 
  瓷玉雕仿生牙冠是以納米級陶瓷粉為原料,經瓷粉大師和瓷雕大師的聯袂手工打造出的一款猶如玉石般自然透光的牙冠,無論是外觀還是性能都可以與真牙媲美,完美地修復了牙齒折斷的問題。
 

 
  烤瓷牙失敗有哪些癥狀?直接點擊咨詢
 
  以上可以做個參考,具體想知道烤瓷牙失敗有哪些癥狀可以咨詢佛山德倫醫院客服。若還有任何疑問,你可在線咨詢得到想要的專業答案,醫生會根據你的實際情況為你推薦好的治療方案。佛山德倫口腔醫院咨詢熱線0757-29990902。閱讀推薦:烤瓷牙失敗了應該怎么辦?
 
隱形牙套多少錢 牙齒矯正多少錢 種植牙多少錢一顆 烤瓷牙多少錢一顆 順德植牙多少錢
種牙好還是鑲牙好 牙齦腫痛怎么辦 點擊更多牙齒案例 牙齒美白方法 牙套多少錢
    溫馨提示PROMPT

    德倫口腔打造中國口腔領導品牌,溫馨提醒您口腔問題不容忽視。點擊在線咨詢即可獲得一對一的咨詢服務,德倫口腔牙科專家將對您提出的問題作出專業回答并保護您的隱私!

    選擇德倫的八大理由

品牌項目
數字化美學矯正

數字化美學矯正

全隱形牙齒矯正

全隱形牙齒矯正

高配版數字化舒適種牙

高配版數字化舒適種牙

ALL-ON-4全口種牙

ALL-ON-4全口種牙

7天仿生美牙修復

牙齒美容修復

健康永久美白

健康長久美白

牙周病綜合治療

牙周病綜合治療

微創根管治療

微創根管治療

專家推薦
熱點問答
?牙齒矯正的危害
?全瓷牙的使用壽命是多久
?哪些牙齒適合做冷光美白
?牙齒不齊做矯正大概需要多少錢呢
?牙周殺手—侵襲性牙周炎
?做牙齒矯正時選擇什么哪種矯牙器好
?兒童缺失牙齒是否需要種牙?
精彩活動
最新動態
?烤瓷牙失敗怎么辦?及時修復是...
?烤瓷牙失敗了,該怎么辦?
?烤瓷牙失敗了怎么辦?及早修復...
?烤瓷牙缺損怎么辦?
?注意!烤瓷牙出現這些情況,必...
?大良人判定烤瓷牙修復失敗的6...
?烤瓷牙失敗的原因有哪些?
坐車路線
  • 出發:
  • 到達: